Aivomikrobiomi: ihmisaivojen suolistobakteeri


Tarkistanut ja hyväksynyt: psykologi Gema Sánchez Cuevas
Alabaman yliopiston neurotiedeyhteisön viimeisen vuosittaisen kokouksen aikana Birminghamissa tutkijat esittelivät raportin, joka osoitti, että ihmisaivojen eri alueilla eli joitakin suolistobakteereita. Niiden arveltiin olevan aivomikrobiomi.
Löydös on sekä kiehtova että pelottava. Siihen ei kuitenkaan ole vielä mitään selitystä, kuinka bakteerit pääsivät aivoihin tai olivatko ne hyödyllisiä vai haitallisia. Asiantuntijat uskoivat jopa, että ne voivat vaikuttaa mielialaan ja ehkä myös persoonallisuuteen.
Mikä on suolistomikrobiomi?
Suolistomikrobiomi on suolistossa elävä mikrobikasvusto. Bakteerilajeja on noin satatuhatta triljoonaa. Ne puolestaan muodostuvat yli kolmesta miljoonasta geenistä. Ihmiset jakavat kaikista niistä vain kolmanneksen. Loput ovat jokaiselle yksilölle ominaisia. Suolistomikrobiomi on tärkeä osa jokaisen ihmisen identiteettiä.
Joitakin sen tärkeimpiä tehtäviä ovat immuunijärjestelmän säätely, ravintoaineiden imeytyminen sekä ulkoisten patogeenien hallinta. Mikä vain muutos suolistomikrobiomissa voi aiheuttaa autoimmuunisairauksia, allergioita tai tulehduksia. Itse asiassa tutkijat ovat myös yhdistäneet sen Alzheimerin ja Parkinsonin tautiin.
Toisaalta, tämän suolistokasvuston epätasapaino luo endotoksiineja, suuren happotason sekä kerääntyvää vatsarasvaa. Lisäksi krooninen tulehdus aiheuttaa sydän- ja verisuoniongelmia ja diabetesta.
Vaikka mikrobeja ja bakteereja pelätäänkin maailmanlaajuisesti, on totuus se, ettemme voi elää ilman niitä. Vaikka et ehkä olekaan tietoinen siitä, on kehosi sisällä biljoonia eläviä olentoja.

Aivomikrobiomi
Tutkijat ovat alkaneet pohtia, kuinka nämä bakteerit pääsevät aivoihin, sillä aivo-verieste suojelee niitä.
Aivo-verieste on suojausjärjestelmä vieraiden aineiden sisääntuloa vastaan. Se antaa veden, lipidien liukoisten molekyylien ja joidenkin kaasujen päästä sen läpi. Se myös päästää lävitseen valittuja aminohappoja ja muita molekyylejä. Mutta ihmisaivojen sisältämät bakteerit ovat suurimmaksi osaksi suolistosta.
Ne ovat gliasoluja, jotka tukevat neuroneita ja astrosyyttejä sekä estävät neurotoksiinien ja muiden aineiden pääsyä aivoihin. Kun nämä haitalliset aineet onnistuvat tunkeutumaan esteen läpi jollakin tavalla, aiheuttavat ne yleensä tulehduksia, joilla on erittäin negatiiviset ja jopa kuollettavat seuraukset. Mutta hauskaa on se, että astrosyytit vaikuttavat olevan näiden suolistobakteerien suosikkipaikka asua aivoissa.
Tutkijat ovat todenneet, että bakteerit voivat päästä suoliston hermojen, aivo-veriesteen tai nenän läpi. Todellinen syy on kuitenkin vielä tuntematon. Tätä mahdollista ihmisaivojen aivomikrobiomia täytyy vielä tutkia paljon.

Ihmisaivojen tutkimus
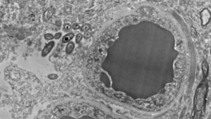
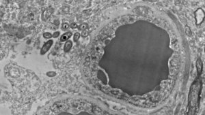
Tohtori Rosalinda Roberts ja hänen tiiminsä Alabaman yliopiston psykiatrian ja käyttäytymiseen perustuvan neurobiologian osastolta ovat vastuussa tästä löydöksestä. He tutkivat 34 ihmisen aivoja. Puolet aivoista oli terveitä ja toinen puoli kärsi skitsofreniasta. Lisäksi he tekivät rinnakkaisen tutkimuksen hiirien kanssa sulkeakseen pois sen vaihtoehdon, että bakteereita esiintyy vain kuoleman jälkeen tai että tutkimuksissa oli saastumisen aiheuttamia virheitä.
Molemmissa tutkimuksissa tutkijat havaitsivat bakteerien olemassaolon ihmisten ja hiirten aivoissa ei-tarttuvissa tai traumaattisissa tilanteissa. Itse asiassa he löysivät niitä useilla aivojen alueilla. Pääosin mustatumakkeessa, hippokampuksessa sekä etuaivolohkossa. Missään heidän tutkimissaan aivoissa ei myöskään ilmennyt tulehdusta.
Nämä tulokset ovat jättäneet oven avoimeksi spekulaatiolle ja uusille aivomikrobiomitutkimuksille. Tällä hetkellä pohditaan sitä mahdollisuutta, että aivomikrobiomi liittyy käytökseen, mielialaan ja joihinkin neurologisiin sairauksiin.
Kuvat Rosalinda Robertsin, Courtney Walkerin ja Charlene Farmerin käyttöön luovuttamia.
Alabaman yliopiston neurotiedeyhteisön viimeisen vuosittaisen kokouksen aikana Birminghamissa tutkijat esittelivät raportin, joka osoitti, että ihmisaivojen eri alueilla eli joitakin suolistobakteereita. Niiden arveltiin olevan aivomikrobiomi.
Löydös on sekä kiehtova että pelottava. Siihen ei kuitenkaan ole vielä mitään selitystä, kuinka bakteerit pääsivät aivoihin tai olivatko ne hyödyllisiä vai haitallisia. Asiantuntijat uskoivat jopa, että ne voivat vaikuttaa mielialaan ja ehkä myös persoonallisuuteen.
Mikä on suolistomikrobiomi?
Suolistomikrobiomi on suolistossa elävä mikrobikasvusto. Bakteerilajeja on noin satatuhatta triljoonaa. Ne puolestaan muodostuvat yli kolmesta miljoonasta geenistä. Ihmiset jakavat kaikista niistä vain kolmanneksen. Loput ovat jokaiselle yksilölle ominaisia. Suolistomikrobiomi on tärkeä osa jokaisen ihmisen identiteettiä.
Joitakin sen tärkeimpiä tehtäviä ovat immuunijärjestelmän säätely, ravintoaineiden imeytyminen sekä ulkoisten patogeenien hallinta. Mikä vain muutos suolistomikrobiomissa voi aiheuttaa autoimmuunisairauksia, allergioita tai tulehduksia. Itse asiassa tutkijat ovat myös yhdistäneet sen Alzheimerin ja Parkinsonin tautiin.
Toisaalta, tämän suolistokasvuston epätasapaino luo endotoksiineja, suuren happotason sekä kerääntyvää vatsarasvaa. Lisäksi krooninen tulehdus aiheuttaa sydän- ja verisuoniongelmia ja diabetesta.
Vaikka mikrobeja ja bakteereja pelätäänkin maailmanlaajuisesti, on totuus se, ettemme voi elää ilman niitä. Vaikka et ehkä olekaan tietoinen siitä, on kehosi sisällä biljoonia eläviä olentoja.

Aivomikrobiomi
Tutkijat ovat alkaneet pohtia, kuinka nämä bakteerit pääsevät aivoihin, sillä aivo-verieste suojelee niitä.
Aivo-verieste on suojausjärjestelmä vieraiden aineiden sisääntuloa vastaan. Se antaa veden, lipidien liukoisten molekyylien ja joidenkin kaasujen päästä sen läpi. Se myös päästää lävitseen valittuja aminohappoja ja muita molekyylejä. Mutta ihmisaivojen sisältämät bakteerit ovat suurimmaksi osaksi suolistosta.
Ne ovat gliasoluja, jotka tukevat neuroneita ja astrosyyttejä sekä estävät neurotoksiinien ja muiden aineiden pääsyä aivoihin. Kun nämä haitalliset aineet onnistuvat tunkeutumaan esteen läpi jollakin tavalla, aiheuttavat ne yleensä tulehduksia, joilla on erittäin negatiiviset ja jopa kuollettavat seuraukset. Mutta hauskaa on se, että astrosyytit vaikuttavat olevan näiden suolistobakteerien suosikkipaikka asua aivoissa.
Tutkijat ovat todenneet, että bakteerit voivat päästä suoliston hermojen, aivo-veriesteen tai nenän läpi. Todellinen syy on kuitenkin vielä tuntematon. Tätä mahdollista ihmisaivojen aivomikrobiomia täytyy vielä tutkia paljon.

Ihmisaivojen tutkimus
Tohtori Rosalinda Roberts ja hänen tiiminsä Alabaman yliopiston psykiatrian ja käyttäytymiseen perustuvan neurobiologian osastolta ovat vastuussa tästä löydöksestä. He tutkivat 34 ihmisen aivoja. Puolet aivoista oli terveitä ja toinen puoli kärsi skitsofreniasta. Lisäksi he tekivät rinnakkaisen tutkimuksen hiirien kanssa sulkeakseen pois sen vaihtoehdon, että bakteereita esiintyy vain kuoleman jälkeen tai että tutkimuksissa oli saastumisen aiheuttamia virheitä.
Molemmissa tutkimuksissa tutkijat havaitsivat bakteerien olemassaolon ihmisten ja hiirten aivoissa ei-tarttuvissa tai traumaattisissa tilanteissa. Itse asiassa he löysivät niitä useilla aivojen alueilla. Pääosin mustatumakkeessa, hippokampuksessa sekä etuaivolohkossa. Missään heidän tutkimissaan aivoissa ei myöskään ilmennyt tulehdusta.
Nämä tulokset ovat jättäneet oven avoimeksi spekulaatiolle ja uusille aivomikrobiomitutkimuksille. Tällä hetkellä pohditaan sitä mahdollisuutta, että aivomikrobiomi liittyy käytökseen, mielialaan ja joihinkin neurologisiin sairauksiin.
Kuvat Rosalinda Robertsin, Courtney Walkerin ja Charlene Farmerin käyttöön luovuttamia.
Kaikki lainatut lähteet tarkistettiin perusteellisesti tiimimme toimesta varmistaaksemme niiden laadun, luotettavuuden, ajantasaisuuden ja pätevyyden. Tämän artikkelin bibliografia katsottiin luotettavaksi ja akateemisesti tai tieteellisesti tarkaksi.
- Barksdale KA, Perez-Costas E, Gandy JC, Melendez-Ferro M, Roberts RC*, Bijur GN* (2010) Mitochondrial viability in mouse and human postmortem brain. FASEB J, 24(9):3590-3599
- Do gut bacteria make a second home in our brains? (2018, November 9). Retrieved March 4, 2019, from https://www.sciencemag.org/news/2018/11/do-gut-bacteria-make-second-home-our-brains
Tämä teksti on tarkoitettu vain tiedoksi eikä se korvaa ammattilaisen konsultaatiota. Jos sinulla on kysyttävää, konsultoi asiantuntijaasi.







